Желтое тело в яичнике — что это такое и стоит ли переживать — Клиника ISIDA Киев, Украина
Содержание
Ежемесячно у здоровой женщины репродуктивного возраста происходят десятки процессов, связанных с возможным зачатием и вынашиванием будущего ребенка. Одним из таких процессов является формирование желтого тела, отвечающего за синтез гормона беременности (прогестерона). В отдельных случаях гинекологи отправляют женщин на УЗИ, чтобы специалист на скрининге определил желтое тело, описал его структуру и сделал замеры для дальнейшей интерпретации анализа. Поэтому очень важно знать, откуда берется желтое тело и за какие функции женского организма несет ответственность.
Что такое желтое тело?
Желтое тело или, как его называют, лютеиновое тело — это железа внутренней секреции, которая возникает временно и циклически. Появляется непосредственно после каждой овуляции во второй фазе менструального цикла. Основная функция железы — подготовка организма к беременности и ее поддержке в первые четыре месяца, пока не сформируется плацента.
Когда появляется желтое тело?
Образуется желтое тело после выхода яйцеклетки из доминантного фолликула сразу после овуляции. Специалисты условно делят процесс созревания железы на четыре отдельных этапа, отличающихся прежде всего структурой и размерами:
- Первый этап получил название «пролиферация». Наступает сразу после разрыва стенок фолликула и выхода яйцеклетки. Характеризуется активным делением клеток, образованием лютеина, характерным пожелтением и приобретением конкретных форм и границ.
- Второй этап или «васкуляризация», характеризуется увеличением размера желтого тела, появлением кровеносной сетки. Приходится васкуляризация на 14-18 день цикла.
- Третий этап называется «расцвет». Желтое тело увеличивается до максимальных размеров, очертания становятся более заметными. Размер составляет 26-27 мм.
- Четвертая стадия или «регресс» возникает только при отсутствии беременности. Желтое тело атрофируется и исчезает до следующего цикла.
Функции желтого тела:
- подготовка эндометрия к имплантации (прикреплению) эмбриона;
- увеличение толщины эндометрия.
Желтое тело развивается у женщин репродуктивного возраста. Появление и развитие железы напрямую связано с беременностью:
Если зачатие произошло и эмбрион прикрепился к стенке матки, желтое тело синтезирует прогестерон, постепенно увеличивая его количество, чем обеспечивает все условия для развития будущего ребенка. Желтое тело функционирует до момента полного созревания плаценты, когда последняя может производить эстроген и прогестерон самостоятельно, примерно на 16 неделе беременности (4 месяц).
Если зачатия не было, желтое тело уменьшается, атрофируется и замещается рубцовой тканью. Количество синтезированного гормона снижается, наступает закономерная менструация.
Размеры желтого тела
Типовые размеры желтого тела сразу после овуляции базируются в диапазоне от 12 до 20 мм. В период формирования лютеинового тела размер постепенно увеличивается и к 19-30 дням менструального цикла становится максимально большим — 23-29 мм.
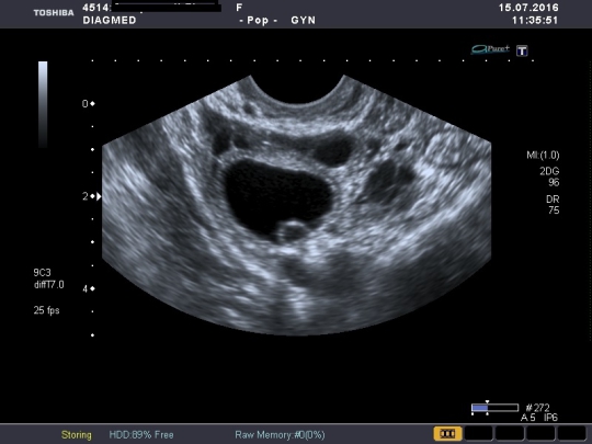
Желтое тело на УЗИ
Желтое тело можно обнаружить во время диагностической процедуры, если УЗИ пришлось на период сразу после овуляции. Это подтверждает, что цикл овуляторный и сама овуляция прошла нормально.
Желтое тело можно увидеть на трансабдоминальном и трансвагинальном УЗИ органов малого таза. Для женщин, живущих половой жизнью, более точным вариантом будет трансвагинальное исследование.
На экране аппарата врач УЗИ увидит неоднородное округлое образование. Появляется желтое тело в правом или левом яичнике в зависимости от локализации созревания доминантного фолликула и овуляторной яйцеклетки. Сторона созревания не имеет принципиального значения для будущей беременности и здоровья женщины.
Иногда опытный узист видит желтое тело в яичнике в другие периоды менструального цикла, например, во время задержки, когда предполагаемые менархе не начались в привычный срок. Это может свидетельствовать как о беременности, так и о гормональном сбое. Наличие желтого тела во время менструации не является 100% подтверждением того, что женщина вынашивает ребенка.
Для подтверждения или опровержения необходимо сдать анализ на определение уровня ХГЧ в крови.
Кроме того, из желтого тела иногда развивается киста — полостное образование с жидкостью внутри. Патология характеризуется частыми сбоями в ежемесячном цикле, тянущими болями внизу живота. Более подробно в ситуации должен разбираться опытный гинеколог.
Может ли желтое тело не появиться в конкретном менструального цикла? Да, может. Иногда овуляция не наступает, такие циклы называют ановуляторными. Не созревает доминантный фолликул, яйцеклетка не выходит в матку и овуляция не происходит. Соответственно не возникает и желтое тело.
Ановуляторные циклы в норме характерны для:
- девочек-подростков, у которых цикл только переживает моменты становления;
- сразу после родов;
- если женщина кормит грудью;
- во время менопаузы.
В других случаях регулярные ановуляторные циклы свидетельствуют о нарушениях в организме.
Выводы
Желтое тело — это железа, что образуется в яичниках после завершение овуляции.
Желтое тело выполняет ряд важных функций, связанных с подготовкой полости матки к будущей беременности. Если зачатие не наступило, железа атрофируется и рубцуется. Формируется желтое тело ежемесячно.
цена на УЗИ мониторинг созревания фолликула для определения овуляции в клинике Медок в Москве
Фолликулометрия может проводиться двумя методами: трансвагинальным и трансабдоминальным. Каким способом будет производиться исследование, заранее решает врач.
При любом типе сканирования за 2-3 дня до проведения обследования нужно воздержаться от употребления пищевых продуктов, вызывающих повышенное газообразование (капуста, бобовые, молоко и т.д.).
Подготовка к процедуре напрямую зависит от того, каким путем она будет осуществляться. Чтобы сделать информативную фолликулометрию трансабдоминальным методом, мочевой пузырь должен быть наполнен.
Это связано с физиологическими особенностями женского организма. При полном мочевом пузыре кишечник несколько смещается в сторону, позволяя специалисту увидеть необходимые органы более детально. Соответственно, заранее перед визитом в кабинет ультразвуковой диагностики следует выпить достаточное количество жидкости. Для трансвагинального УЗИ необходимо опорожнить мочевой пузырь до процедуры. Остальная подготовка включает стандартные гигиенические процедуры, как и перед гинекологическим осмотром.
Когда приходить на обследование
День, когда лучше всего сделать сканирование яичников и фолликулометрию, определяет лечащий врач. Для того, чтобы знать, как доктор рассчитывает время исследования, необходимо понимание процесса овуляции.
Яйцеклетка выходит из фолликула примерно на 12 день менструального цикла. Продолжительность жизни этой важной клетки невелика и составляет всего 24-36 часов. На месте разорванного фолликула образуется желтое тело и начинает вырабатывать прогестерон.
Порядок проведения
Диагностические кабинеты сети «Медок» обустроены таким образом, чтобы обеспечить нашим пациенткам полный комфорт. Мы предоставляем все необходимое для процедуры, включая одноразовые пеленки и мягкие салфетки. В приемной можно снять верхнюю одежду, нижнее белье – оставить непосредственно в кабинете.
Как и подготовка, порядок проведения УЗИ сканирования отличается в зависимости от способа. Для того, чтобы сделать фолликулометрию трансабдоминальным методом, пациентка должна лечь на специальную кушетку и освободить от одежды нижнюю часть живота. Чтобы не испытывать дискомфорта, ноги при этом можно согнуть в коленях.
Взгляд в будущее, или как разглядеть своё счастье на УЗИ
Ультразвуковое исследование беременных – одна из самых распространенных и безопасных процедур. С тех пор, как УЗИ стало доступно, его применяют практически во всех областях медицины. Не стала исключением и пренатальная диагностика. Это возможность не только увидеть будущего ребенка, но и проследить за его развитием. Подробнее обо всех аспектах этого исследования рассказывает заведующая отделом ультразвуковой диагностики Омского клинического диагностического центра Анна Ерофеева:
Женщины, активно планирующие беременность, стараются попасть на УЗИ при первых признаках задержки.
Врачи понимают их озабоченность, но уверяют, что это не даст никакого реального результата, и на данном этапе в исследовании нет необходимости.
— Если женщина предполагает беременность, исходя из задержки, и при этом чувствует себя хорошо, не нужно в первые дни и даже недели бежать на УЗИ, поскольку у всех разные сроки овуляции, — рассказывает заведующая отделом ультразвуковой диагностики КДЦ Анна Ерофеева. – Если овуляция поздняя, то несколько дней задержки ничего не покажут. В такой ситуации будут нервничать все: и врач, который еще не видит в полости матки плодное яйцо, и ему нужно исключить внематочную беременность, и пациентка.
Во всем мире принято, что раньше двух недель задержки не нужно приходить на УЗИ. Исследование целесообразно через месяц, когда срок достигнет 8-9 недель, уже хорошо просматривается эмбрион, можно послушать сердцебиение.
Контроль
Согласно приказу Минздрава России №572н от 12 ноября 2012 г., скрининговое ультразвуковое исследование (УЗИ) плода должно проводиться трехкратно.
Очень важно прийти к врачу в нужные для эффективного исследования сроки: в первом триместре с 11 недель до 13 недель и 6 дней, во втором триместре – 18-22 недели, в третьем триместре – 30-32 недели. Это необходимо, чтобы оценить состояние плода, вовремя обнаружить угрозу выкидыша, возможную патологию.
— При первом УЗИ в декретированные сроки (желательно в 12 недель), мы выявляем признаки грубых пороков развития, как правило, это пороки центральной нервной системы или редукционные пороки : отсутствие конечности либо ее выраженная деформация. Также в первом триместре необходимо обнаружить маркеры хромосомной патологии, — пояснила Анна Леонидовна. — Наша задача выявить их в первом триместре и направить будущую мамочку на дальнейшее углубленное обследование.
Комплексная дородовая диагностика в системе Astraia позволяет сформировать группу риска беременных с генетическими и хромосомными заболеваниями у плода с последующим дообследованием с помощью инвазивных манипуляций. Наиболее часто встречаются синдромы Дауна, Эдвардса, Патау, триплоидии.
И чем раньше это будет сделано, тем больше времени у родителей взвесить возможности современной медицины и свои собственные в плане реабилитации ребёнка, чтобы принять решение о дальнейшем пролонгировании беременности.
Знать точно
Следующий срок декретированного УЗИ варьируется от 18 до 22 недель, но врачи советуют выполнять его в 20 недель. И даже если исследование было проведено в 18 недель, лучше повторить его через месяц, поскольку за это время плод вырастает почти в два раза, а значит рассмотреть его можно лучше.
Во втором триместре также проводится оценка маркеров хромосомной патологии, а также полная оценка анатомии плода, — поясняет врач. – Если есть какие-то отклонения, то женщину направляют к генетику или перинатологу для решения вопроса о необходимости проведении инвазивных процедур. На таком сроке вероятность выявления врожденных пороков развития значительно увеличивается.
Финишная прямая
На сроке 30-32 недели проводится оценка функционального состояния плода, темпов его роста, исследования кровотоков в системе матка-плацента-плод, при необходимости кровотоков непосредственно в сосудах плода.
В этот период исключается группа поздних пороков, которые ранее не видны в силу своей поздней манифестации. Такие пороки проявляются только в третьем триместре беременности по мере формирования и развития органов и систем у человека, и это не зависит ни от качества оборудования, ни от квалификации врача.
— Здесь имеет большое значение допплерография, показатели кровотока в артерии пуповины, маточных артериях, при наличии показаний – в среднемозговой артерии, венозном потоке, аорте плода. Наша задача – увидеть угрожающее состояние, которое может вызвать преждевременные роды, — рассказывает Анна Леонидовна.
Если у будущего ребенка не обнаружена какая-либо патология, женщину ничего не беспокоит, беременность одноплодная, то чаще делать УЗИ не рекомендуют. Трех плановых осмотров будет вполне достаточно для ведения беременности без осложнений. При необходимости врач назначает дополнительные исследования.
Подытожим…
— Ультразвуковое исследование – это основной метод пренатальной диагностики.
Он безопасный, неинвазивный, достоверный и доступный, к тому же при необходимости его можно проводить намного чаще, и это никак не отразится ни на здоровье матери, ни на состоянии будущего малыша. Диагностический центр укомплектован самыми современными приборами экспертного класса, на которых стоит высокая степень защиты. Врачи ультразвуковой диагностики обладают большим опытом и высокой квалификацией.
Сверхточное 4D-УЗИ
В Диагностическом центре установлен самый современный УЗИ-аппарат с режимом HDlive – Voluson E10, который позволяет врачам получить сверхточное четырехмерное изображение для исключения серьезных патологий, а родителям — понаблюдать за жизнью малыша в режиме реального времени (4D изображение). На 3D-снимках можно разглядеть даже черты лица будущего малыша.
Voluson E10 позволяет рассмотреть на экране сверхточное изображение малыша, получить очень подробную информацию о работе мозга, сердца, сосудистой системы плода с возможностью изучения кровотока.
Крайне важно, что уже в первом триместре беременности можно диагностировать заболевания и, при необходимости, назначить необходимое лечение, ведь нет ничего важнее, чем здоровье будущего малыша.
Максимальная детализация и сверхточное качество изображения позволяют врачам получить полную информацию о состоянии здоровья малыша и мамы. Даже самые незначительные отклонения могут быть установлены на минимальном сроке беременности. Новая 4D технология радикально меняет качество визуализации сердца плода. Технология HDlive улучшает коммуникацию врача и пациента и повышает достоверность диагностики, поднимая планку оказания медицинских услуг на качественно новый уровень.
Почему нельзя отказываться от УЗИ во время беременности?
Вот несколько аргументов, говорящих в пользу необходимости ультразвукового контроля протекания беременности:
- Пороки развития плода в 90% случаев развиваются у совершенно здоровых людей, без каких-либо факторов риска.
Т.е. своевременно выявляются такие пороки только лишь при УЗИ, проведенном в диагностических целях. - Могут иметь место значительные пороки развития плода при внешнем благополучном протекании беременности.
- Клиническое обследование (т.е. пальпация наружными приемами) не является достоверным при установлении многоплодной беременности, не говоря уже о контроле нормального (ассоциированного) внутриутробного развития близнецов.
- Беременные с низким расположением и предлежанием плаценты, как правило, не догадываются об этом до тех пор, пока не начинается кровотечение.
- До 50% женщин, утверждающих, что точно знают срок беременности («по сроку зачатия»), ошибаются более чем на 2 недели, а именно эти 2 недели могут оказаться очень важны, особенно в ситуации преждевременных родов для недоношенных детей.
Визуализирующие исследования кист яичников
Когда нужно УЗИ, а когда нет
Большинство кист яичников представляют собой небольшие мешочки, заполненные жидкостью, на яичниках.
Их называют «простыми» кистами яичников.
Если ваш лечащий врач неожиданно обнаружит кисту или увеличенный яичник во время гинекологического осмотра, вам следует пройти вагинальное ультразвуковое исследование для выявления рака. Тем не менее, многие женщины проходят контрольное УЗИ, чтобы убедиться, что рак не разрастется позже.В большинстве случаев эти дополнительные экзамены не нужны. Вот почему:
Большинство кист яичников имеют низкий риск и могут быть проигнорированы.
Простая киста яичника часто формируется как часть нормального менструального цикла. Примерно каждая пятая женщина, пережившая менопаузу, также получает их. Эти кисты маленькие и обычно не вызывают симптомов. И они обычно не оказываются раковыми у женщин любого возраста.
Исследования показали, что если в кисте нет признаков рака, рак вряд ли разовьется позже.По этой причине безопасно игнорировать кисту после первого вагинального УЗИ, если она не начинает вызывать симптомы, такие как тазовая боль.
Ультразвук безопасен, но последующее наблюдение может быть сопряжено с риском.
Во время УЗИ тонкий инструмент помещается во влагалище, и звуковые волны используются для создания изображений. Ультразвуковое исследование не подвергает вас воздействию радиации. И это не затратно. Так что повторение может показаться безобидным.
Но повторный вызов через несколько недель или месяцев после первого УЗИ для повторной проверки кисты может вызвать беспокойство.И к тому времени у вас может быть новый менструальный цикл. Старая киста может исчезнуть сама по себе. Но может образоваться новая киста, что может привести к повторному УЗИ новой.
Эти раунды УЗИ также могут привести к ненужной операции по удалению кисты или яичника. Например, некоторые врачи удаляют кисты, которые, кажется, не исчезают или выглядят больше при последующих анализах, даже если они почти никогда не становятся раковыми. Риски этой операции включают боль, кровотечение и инфекцию.
Тесты могут быть пустой тратой денег.

Если у вас нет медицинской страховки, вагинальное УЗИ может стоить дорого, а операция по удалению кисты яичника может стоить тысячи долларов. И любые деньги, потраченные на ненужные анализы и процедуры, — деньги на ветер.
Итак, когда вам следует пройти повторное ультразвуковое исследование?
Вам может потребоваться повторное ультразвуковое исследование, а иногда и хирургическое вмешательство, если первое ультразвуковое исследование показывает, что у вас большая киста или киста, которая может быть раковой или может перерасти в рак.Если киста имеет вид рака, ее следует немедленно удалить. Операцию должен проводить хирург, специализирующийся на лечении рака яичников. Такой хирург называется гинекологом-онкологом.
Этот отчет предназначен для использования при разговоре со своим лечащим врачом. Это не замена медицинской консультации и лечению. Вы используете этот отчет на свой страх и риск. © Consumer Reports, 2016 г.
Разработано в сотрудничестве с Американским колледжем радиологии.
07/2016
Когда у меня овуляция? Симптомы овуляции и многое другое
Эта статья также доступна на следующих языках: португальский, испанский, немецкий, французский подходящие условия для роста и выхода яйцеклетки: окружающая среда, здоровье, и поведение все играют роль или пройти тесты на овуляцию
Овуляция иногда связана с овуляционным кровотечением или болью при овуляции
Что такое овуляция?
Овуляция — это выход яйцеклетки из яичника в маточную трубу.Обычно это происходит примерно за 13–15 дней до начала каждой менструации (1). Как и ваш период, время овуляции может варьироваться от цикла к циклу, и у вас может быть нечетный цикл, когда вы вообще не овулируете.
Загрузите Clue, чтобы лучше понять время вашего цикла.
4,8
рейтинги 2M+
Понимание основ того, как работает овуляция, может быть мощным инструментом для вашего здоровья
Но понимание процесса может дать вам представление не только о плодородии.
Вы лучше поймете любые гормональные изменения в вашем организме в это время и узнаете, какие факторы могут повлиять на время вашей овуляции (например, стресс) и почему.В настоящее время на Западе мы овулируем около 400 раз в течение жизни (2). На это число влияет использование противозачаточных средств (многие из которых блокируют овуляцию), время беременности и кормления грудью, а также любое поведение или состояние здоровья, которые влияют на репродуктивные гормоны (например,г. расстройства пищевого поведения, СПКЯ). В доисторические времена женщины овулировали вдвое реже (3).
Каждая овуляция требует многого. А если условия не те, то и не будет.
Развитие и высвобождение яйцеклетки в каждом цикле происходит в ответ на запутанные взлеты и падения ваших репродуктивных гормонов. На овуляцию (и менструальный цикл в целом) влияют энергетические, пищевые, эмоциональные и социально-экономические факторы.
Кратковременные факторы, такие как джетлаг, сезонные изменения, стресс и курение, могут оказывать влияние, а также долгосрочные факторы, такие как СПКЯ и заболевания щитовидной железы (4–8).
Как происходит овуляция: основы
Крошечные яйцеклетки развиваются в мешочках, называемых фолликулами в ваших яичниках. Фолликулы развиваются в течение нескольких месяцев, прежде чем они будут готовы выпустить свою яйцеклетку (по оценкам, >175 дней или >~6 циклов) (9, 10). В любой момент времени в ваших яичниках есть фолликулы на нескольких стадиях развития (10).
Ранние ученые однажды приняли фолликул за саму яйцеклетку.
Фолликулы претерпевают невероятные изменения, ведущие к овуляции, развивая множество частей и слоев, каждый из которых выполняет свои функции.Однако большинство фолликулов никогда не достигают овуляции, отмирая на разных фазах развития или до развития.
В начале каждого менструального цикла несколько (~10) развивающихся фолликулов считаются кандидатами на овуляцию в этом цикле (11). Примерно к середине фолликулярной фазы один фолликул становится доминирующим.
Как у суперзвезды, выбранной из стаи, все ресурсы направляются на подготовку единственного фолликула, а остальные потенциалы отмирают.
Когда фолликул готов, он выпускает яйцеклетку. Яйцеклетка выходит из яичника и попадает в фаллопиеву трубу (на самом деле они не соединены друг с другом — представьте себе конец фаллопиевой трубы, собирающий яйцеклетку из брюшной полости). После выхода у яйцеклетки есть около 12–24 часов для оплодотворения спермой в фаллопиевой трубе. Если яйцеклетка не оплодотворяется в течение этого короткого промежутка времени, она начинает деградировать. Если он оплодотворен, он перемещается в матку в течение следующих 6–12 дней, чтобы, возможно, имплантироваться для беременности (12, 13).
Все эти события обусловлены циклическими изменениями ваших репродуктивных гормонов. Гормоны контролируют выбор и развитие фолликулов, выход каждой яйцеклетки и подготовку матки к возможной имплантации.
Эта первая часть цикла называется фолликулярной фазой (теперь вы знаете, откуда она получила свое название).
Время рассказа: ваш мозг, гормоны и овуляция
Связь между мозгом и яичниками, которая контролирует развитие фолликулов и овуляцию, называется гипоталамо-гипофизарной осью или осью ГПО.
Перед овуляцией
Мозг вырабатывает непрерывные выбросы фолликулостимулирующего гормона или ФСГ на протяжении всего цикла. ФСГ делает именно то, для чего он назван — стимулирует развитие фолликулов (2). По мере роста фолликулы вырабатывают эстроген.
По мере того, как выбирается и растет доминантный фолликул (6-9 дни цикла), начинается пик эстрогена (10).
Фолликул становится доминирующим при диаметре около 10 мм и обычно вырастает до около двух сантиметров в диаметре (и примерно до 3.3см) (14–17). Это примерно размер виноградины или лесного ореха со скорлупой.
Готово к выпуску
Когда количество эстрогена достигает своего верхнего порога, яйцеклетка готова к выпуску. Затем мозг производит выброс лютеинизирующего гормона (ЛГ), вызывая овуляцию. Выход яйцеклетки из фолликула и яичника происходит примерно через 24 часа (через 10–12 часов после пика ЛГ) (13, 17). Фолликул использует ферменты, чтобы разрушить свою собственную стенку и сформировать отверстие, позволяющее высвободить крошечную яйцеклетку из ее центра (18).
В конце фаллопиевой трубы пальцеобразная структура набухает от крови, чтобы захватить и ввести яйцеклетку. Тем временем яйцеклетка претерпевает свои собственные изменения, чтобы подготовиться к возможному оплодотворению.
Преовуляторный фолликул является основным источником эстрогена в организме. Доминантный фолликул является источником более 90% продукции эстрогена в преовуляторный период (19).
Взгляните на график гормонов. Вы увидите, что эстроген, выделенный синим цветом, начинается с низкого уровня и начинает резко повышаться в середине фолликулярной фазы.
После овуляции
Яйцеклетка уже в пути, но работа фолликула еще далека от завершения. Лютеинизирующий гормон превращает большой фолликул, вырабатывающий эстроген, в a прогестерон машину, вырабатывающую прогестерон (10) .
Этот новый производитель прогестерона (который также производит эстроген) называется желтым телом, или «желтым телом» на латыни (потому что оно желтоватого цвета).
Новый желтое тело изготавливается каждый цикл, в котором происходит овуляция.Если овуляции не произойдет, вы вообще не получите такого всплеска прогестерона.
Если яйцеклетка не оплодотворена сперматозоидом , а затем имплантирована в слизистую оболочку матки (после путешествия по фаллопиевой трубе, что занимает несколько дней), желтое тело начинает деградировать, а уровень гормонов падает, вызывая менструацию ( 20). Если беременность наступает, желтое тело обеспечивает достаточное количество прогестерона для развития беременности, пока плацента не сможет взять на себя ответственность (21).
Посмотрите на гормоны сразу после овуляции.Уровни эстрогена немного падают, а затем начинают расти прогестерон (и эстроген). Если нет гормонального сигнала о начале беременности, они снова начинают снижаться в середине лютеиновой фазы, в конечном итоге вызывая менструацию.
Ваша овуляция не часы
Любые факторы, влияющие на пульсацию гормонов в вашем мозгу, могут повлиять на вашу овуляцию.
Окружающие и внутренние факторы, такие как стресс, диета и изменения в физических упражнениях, могут привести к тому, что овуляция произойдет немного раньше, позже или вообще не произойдет.Затем ваши месячные могут наступить раньше или позже, быть легче или тяжелее.
Ваша фолликулярная фаза считается «пластичной» по сравнению с вашей лютеиновой фазой.
Это означает, что она обычно может меняться по продолжительности от цикла к циклу. Если вы знаете продолжительность вашей типичной лютеиновой фазы (чаще всего 13– 15 дней) вы можете считать в обратном порядке, чтобы получить представление о том, когда у вас овуляция.Изменения в продолжительности вашего цикла обычно определяются в фолликулярной фазе — времени, которое требуется фолликулу, чтобы достичь точки овуляции.
Обычно овуляция не происходит регулярно, когда у вас впервые начинается менструация. Также часто бывает нерегулярная овуляция сразу после беременности и кормления грудью, а также в годы, приближающиеся к менопаузе.
Почему это важно
Отсутствие овуляции время от времени может не вызывать беспокойства, но если это становится обычным явлением или если у вас полностью прекращается овуляция (и вы не получаете гормоны каким-либо иным путем), могут возникнуть серьезные проблемы со здоровьем. результат.
В процессе овуляции ваше тело получает столь необходимые уровни эстрогена и прогестерона — гормонов, которые играют далеко не только роль фертильности. Они влияют на плотность костей, здоровье сердца, обмен веществ, качество сна, психическое здоровье и многое другое. Очень важно получить их достаточное количество.
Ановуляция в фертильном возрасте связана с остеопорозом, сердечно-сосудистыми заболеваниями и некоторыми видами рака в более позднем возрасте (22–25). Например, спортсмены с менструальной дисфункцией значительно чаще страдают от стрессовых переломов (26).
Как узнать, что у меня овуляция?
Во взрослом возрасте вы, вероятно, овулируете большую часть времени, если ваш цикл в целом находится в пределах допустимого диапазона (это 24–38 дней для взрослых с менее чем 7–9 колебаниями от цикла к циклу и менструальным периодом 2–2 дня).
7 дней) (27).Цикл, который постоянно выходит за эти пределы (он длинный, короткий или очень нерегулярный), может быть признаком ановуляции и поводом поговорить с вашим лечащим врачом.
Чтобы узнать, есть ли у вас овуляция (и когда она происходит в вашем цикле), вы можете попробовать:
Отслеживание продолжительности и регулярности цикла в Clue
Отслеживание физических признаков фертильности в течение нескольких циклов, включая базальную температуру тела и цервикальную жидкость фаза)
Загрузите Clue и легко отслеживайте свою цервикальную жидкость и BBT.
4,8
2M+ рейтинги
Когда мне делать тест на овуляцию?Тестировать можно в любое время дня, но лучше всего делать это каждый день в одно и то же время.
Наборы для тестирования на овуляцию рекомендуют выбирать время, когда вы не мочились в течение 4 часов до тестирования или когда вы потребляли чрезмерное количество жидкости.
ЛГ обычно повышается утром, между 4 и 8 часами утра (29). Если вы проверите до того, как он впервые поднимется, вы можете получить отрицательный результат в тот же день, но вы все равно должны получить положительный результат на следующий день.Если вы пытаетесь обнаружить самый ранний подъем ЛГ или у вас возникли проблемы с получением положительного результата, попробуйте проводить тестирование в разное время в течение дня и посмотрите, что лучше всего подходит для вашего организма.
Статья была первоначально опубликована 23 ноября 2017 г.
Нарушение овуляции — MU Health Care
Овуляция — это когда яичник женщины выпускает яйцеклетку (ооцит) — обычно каждые 28 дней. Если яичники женщины не производят яйцеклетку или что-то еще прерывает этот процесс, у нее будут проблемы с беременностью.Это называется бесплодие.
У многих женщин с нерегулярными менструальными циклами (менструациями) может отсутствовать овуляция. Даже у некоторых женщин с нормальным циклом могут быть проблемы с овуляцией.
Если у вас нерегулярные месячные, у вас может быть состояние, называемое синдромом поликистозных яичников (СПКЯ). СПКЯ — это когда гормональный дисбаланс вызывает увеличение яичников и образование небольших кист на внешних краях. Помимо проблем с менструальным циклом, СПКЯ также может влиять на фертильность, сердечную функцию и внешний вид.
Если у вас нарушение овуляции, такое как поликистоз яичников, команда женского здоровья Женской и детской больницы Университета Миссури поможет вам понять варианты лечения, чтобы у вас были наилучшие шансы забеременеть.
Симптомы СПКЯЕсли у вас есть хотя бы два из следующих критериев, у вас может быть СПКЯ:
- Нерегулярные менструации или их отсутствие в анамнезе
- Повышенный уровень тестостерона (определяемый лабораторными тестами или физическими характеристиками, такими как чрезмерное оволосение тела или лица)
- Признаки поликистоза яичников (по данным УЗИ)
Если у вас нерегулярный менструальный цикл, например, менструация раз в три месяца, возможно, у вас нерегулярная овуляция.
Важно определить, производят ли ваши яичники яйцеклетки. Вот некоторые из способов, которыми наши врачи проверяют овуляцию.
Каждое утро, как только вы просыпаетесь, вы записываете свою температуру. Примерно через два дня после овуляции у женщин наблюдается устойчивое повышение базальной температуры тела (БТТ) примерно на 0,5 градуса по Фаренгейту. У большинства женщин овуляция приходится на середину цикла (около 14 902 91 902 92 дней), хотя каждая женщина индивидуальна.Если ваш БТТ не увеличивается в период между первым днем менструации и первым днем следующей менструации, это может означать, что у вас не было овуляции.
Анализ мочи на лютеинизирующий гормон (ЛГ)
В середине цикла вы проверите свою мочу на всплеск ЛГ, используя набор для одноэтапного безрецептурного определения овуляции. Овуляция обычно происходит через 24-40 часов после того, как вы увидите изменение цвета на предикторном тесте, что означает повышение уровня ЛГ.
Трансвагинальное УЗИ
Специалист проведет этот тест в середине вашего цикла, до того, как обычно происходит овуляция.Этот визуализирующий тест используется для подтверждения наличия доминантного фолликула (кисты яичника с яйцеклеткой внутри). Используя это изображение, ваш врач также может измерить толщину и рисунок слизистой оболочки матки в это время.
Уровень прогестерона
Прогестерон — это гормон, уровень которого значительно увеличивается у женщин только после наступления овуляции. Это простой анализ крови, который вы должны пройти примерно через неделю после середины вашего цикла.
Тестирование овариального резерва
Женщина рождается со всеми яйцеклетками, которые у нее когда-либо будут.С возрастом женщины ее яйцеклетки могут стать менее жизнеспособными (способными произвести беременность). Овариальный резерв относится к способности яйцеклеток, остающихся в яичниках женщины в данном возрасте, производить жизнеспособную беременность.
Этот «запас» уменьшается с возрастом. Наиболее распространенными тестами для оценки овариального резерва являются:
- Базальный ФСГ, эстрадиол. Однократный анализ крови, который проводится между вторым и четвертым днями менструального цикла. Мы регулярно используем этот тест.
- Проба с кломифенцитратом (CCCT). Тест, включающий использование цитрата кломифена с двумя измерениями анализов крови, взятыми на третий и десятый дни менструального цикла. Это позволит определить дисфункцию яичников. Мы используем этот тест реже.
- Подсчет базальных антральных фолликулов (БАФ). В этом тесте техник проводит трансвагинальное УЗИ для подсчета количества мелких фолликулов (киста с яйцеклеткой внутри), доступных для стимуляции в начале цикла лечения.
Если у вас диагностирован СПКЯ, наши специалисты составят для вас индивидуальный план лечения.
Лечение может включать:
- Потеря веса. Если у вас избыточный вес или ожирение, ваш менструальный цикл может стать более регулярным, когда вы похудеете. Однако даже при потере веса некоторым женщинам с СПКЯ все еще требуются лекарства от бесплодия.
- Лекарства. Ваш врач может назначить пероральное (таблетки) или инъекционное (укол) лекарство от бесплодия, чтобы помочь стимулировать ваши яичники производить и выделять яйцеклетки.
- Внутриматочная инсеминация (ВМИ). Некоторые пациенты, получающие препараты для лечения бесплодия, также подвергаются ВМИ. Ваши врачи введут специально подготовленную сперму в вашу матку с помощью простой процедуры в офисе. Врач может выполнить ВМИ с использованием спермы вашего мужа или донорской спермы.
Что такое фолликулы яичников? Определение, подсчет и тесты
Если вы пытаетесь забеременеть — или вам просто интересно, насколько вы на самом деле фертильны — вы можете услышать об определенных тестах, которые предполагают, насколько вероятно, что вы забеременеете.
Один из способов узнать немного больше о том, что там происходит, — это взглянуть на фолликулы яичников.
Хотя это ни в коем случае не хрустальный шар, вот как ваши фолликулы яичников вписываются в весь процесс зачатия и что они могут рассказать вам о ваших шансах.
Что такое фолликулы яичников?
Фолликулы яичников — это маленькие заполненные жидкостью мешочки в яичниках, каждый из которых содержит неоплодотворенную яйцеклетку. Вы рождаетесь с определенным количеством яйцеклеток и фолликулов яичников — обычно от 1 до 2 миллионов — и общее количество со временем уменьшается.
К моменту полового созревания остается около 25 процентов этих фолликулов, около 300 000. В менопаузе обычно остается менее 1000 фолликулов яичников.
Сами фолликулы проходят различные стадии развития. Сначала в яичниках плода формируются примордиальные фолликулы. Они остаются такими до полового созревания, после чего начинают развиваться — как и все остальные — и становятся первичными фолликулами.
Примерно во время овуляции некоторые из этих фолликулов начинают набухать.Один станет доминирующим, а другие, которые начали расти, называемые антральными фолликулами, отступят.
Затем доминантный фолликул разрывается и высвобождает яйцеклетку из яичника, которая проходит через маточную трубу к матке. Это яйцо будет висеть около 24 часов, создавая возможность для оплодотворения. Цикл продолжается каждый месяц, пока не наступит менопауза.
Что такое тест подсчета антральных фолликулов?
Анализ антральных фолликулов — это трансвагинальное ультразвуковое исследование, при котором измеряется количество имеющихся у вас антральных фолликулов.Ультразвуковой техник или врач использует зонд, вставленный во влагалище, для исследования и подсчета количества антральных фолликулов в яичниках. Это занимает всего несколько минут, подобно гинекологическому осмотру.
Антральные фолликулы очень маленькие — от 2 до 9 миллиметров в диаметре — но их все же можно увидеть на УЗИ.
Количество видимых антральных фолликулов может дать вашему врачу примерное представление о том, сколько всего яйцеклеток (включая множество фолликулов, которые еще слишком малы, чтобы их можно было увидеть) осталось в ваших яичниках.
Хотя его часто проводят на третий день менструального цикла одновременно с другими тестами на фертильность, на самом деле его можно сделать в любое время.
Сколько антральных фолликулов в норме?
Это зависит от вашего возраста. Если вы старше, у вас будет меньше антральных фолликулов, чем у тех, кто моложе. В среднем женщины в возрасте от 20 до 30 лет имеют от 12 до 30 антральных фолликулов, в то время как женщины в возрасте от 35 до 40 лет могут иметь от 8 до 15, а женщины в возрасте от 41 до 46 лет могут иметь от четырех до 10.
Если у вас менее пяти антральных фолликулов, врач может порекомендовать определенные методы лечения бесплодия, например, попытку экстракорпорального оплодотворения (ЭКО) с использованием донорских яйцеклеток.
Можно ли забеременеть только с одним созревшим фолликулом?
Если вы пытаетесь зачать ребенка естественным путем, да, вы можете забеременеть, если фолликул выпускает яйцеклетку по фаллопиевой трубе для встречи со сперматозоидом. Но если вы проходите курс лечения от бесплодия, все немного сложнее. Это зависит от того, какую терапию вы используете и сколько вам лет.
Если вы используете внутриматочную инсеминацию (ВМИ) и вам меньше 40 лет, предпочтительны один или два зрелых фолликула. Одно исследование показало, что наличие большего количества не может значительно увеличить ваши шансы забеременеть, но повышает риск рождения близнецов или близнецов, если вы забеременеете.
Тем не менее, женщины старше 40 лет, использующие ВМИ, могут захотеть рассмотреть возможность использования стимулирующих овуляцию процедур, которые позволят создать более зрелые фолликулы. То же исследование показало, что женщины в этой возрастной группе, у которых было до четырех зрелых фолликулов, утроили свои шансы на беременность без значительного увеличения шансов на многоплодие.
Если вы проходите ЭКО, ваш врач также порекомендует вам использовать лекарства от бесплодия, которые производят более зрелые фолликулы, независимо от вашего возраста. Вам сделают гормональные инъекции — обычно с фолликулостимулирующим гормоном (ФСГ), лютеинизирующим гормоном (ЛГ) или обоими — за пару недель до процедуры, чтобы стимулировать яичники.
Во время процедуры экстракции яйцеклеток ваш врач использует иглу с ультразвуковым наведением, чтобы добраться до яичников и собрать яйцеклетку из каждого фолликула. Большинство врачей стремятся получить более 10 яйцеклеток за цикл.
Сколько незрелых фолликулов указывает на синдром поликистозных яичников (СПКЯ)?
У женщин с СПКЯ больше антральных фолликулов, чем у женщин без СПКЯ. У женщины с СПКЯ нередко бывает более 30 антральных фолликулов.
У женщин с СПКЯ вырабатывается повышенный уровень гормона тестостерона, который препятствует овуляции. Фолликулы изо всех сил пытаются выпустить яйцеклетки, поэтому они свисают вместо того, чтобы проходить через процесс овуляции.
Вы все еще можете забеременеть с СПКЯ, но это может занять больше времени, и вам может потребоваться прием определенных лекарств, таких как метформин, препарат, вызывающий овуляцию, кломид или летрозол.Если эти виды лечения не работают, ЭКО может помочь сделать беременность реальностью. Изменения в образе жизни, такие как снижение веса и повышение уровня витамина D, также могут помочь.
Вывод: не беспокойтесь слишком сильно о том, сколько у вас фолликулов в яичниках. Хотя они могут служить индикатором фертильности, точное число не является решающим.
Другие факторы, такие как возраст, вес, история болезни и даже генетика, также играют роль. Тест на подсчет антральных фолликулов — это моментальный снимок вашей фертильности в определенный момент времени, а не вся картина.Фолликулометрия — тест на овуляцию
Серия ультразвуковых исследований для наблюдения за ростом фолликулов в яичниках.
КОГДА?
С 9 по 20 день менструального цикла (при продолжительности цикла 28 дней).
КАК?
Овуляцию можно лучше всего понять с помощью фолликулярного мониторинга.
Трансвагинальное УЗИ через регулярные промежутки времени.
Яичники, контролируют размер любых активных фолликулов в яичниках с яйцеклеткой, маткой и слизистой оболочкой матки.
СКАНИРОВАНИЕ ФОЛЛИКУЛОВ БОЛЬНО?
- Обычно занимает около 15 минут
- Побочные эффекты неизвестны
- Просто и безболезненно
С КАКОЙ СКОРОСТЬЮ РОСТА ФОЛЛИКУЛОВ?
Обычно со скоростью около 1-2 мм в сутки.
КАКОВ РАЗМЕР ФОЛЛИКУЛОВ ДЛЯ ОВУЛЯЦИИ?
Средний диаметр доминантного фолликула составляет от 22 до 24 мм (диапазон 18-36 мм) при нормальном цикле.
ТАК ЖЕ ЛИ СТИМУЛЯЦИОННЫЙ ЦИКЛ (ГОРМОНАЛЬНОЕ ЛЕЧЕНИЕ)?
Отличие от обычного цикла.
При стимуляции цикла (гормональное лечение), как правило, растут все или большинство антральных фолликулов.
Скорость роста будет разной для каждого из них.
КАКОЙ МАРКЕР ПРЕДСКАЗЫВАЕТ ОВУЛЯЦИЮ?
Средний диаметр доминантного фолликула
СКОЛЬКО ВРЕМЕНИ СОзревАЕТ ФОЛЛИКУЛ?
Фолликулы в одном из яичников начинают созревать между 6 и 14 днями менструального цикла.
Примерно на 10-й и 14-й дни из одного из этих фолликулов развивается яйцеклетка.
ВСЕ ФОЛЛИКУЛЫ СОДЕРЖАТ ЯЙЦА?
ДА
ЧТО ТАКОЕ ФОЛЛИКУЛ НА УЛЬТРАЗВУКЕ?
АНТРАЛЬНЫЙ (ПОКОЯЩИЙСЯ) ФОЛЛИКУЛ представляет собой небольшой заполненный жидкостью мешочек, содержащий незрелую яйцеклетку.
Сканирование фолликулов можно увидеть, измерить и подсчитать на 2-й, 3-й и 5-й дни цикла с помощью ультразвука.
ТРАНСВАГИНАЛЬНОЕ УЛЬТРАЗВУКОВОЕ исследование, которое измеряет овариальный резерв женщины или запас оставшихся яйцеклеток.
Овариальный резерв отражает ее потенциал фертильности.
Индикаторы заповедника и шансов на беременность с IVF
- Basal Antral фолликул
- AGE
- день цикла 3 уровня гормона Овуляция
- Изменения цервикальной слизи.
- Обостренное обоняние.
- Болезненность или болезненность молочных желез.
- Мягкий тазовый или нижний боли в животе
- Светлые пятна или разряда
- Изменения либидо
- Изменения в шейки матки
- Flolectic внезапно исчезает или регрессирует размером
- нерегулярный поля
- внутрифолликулярные эхо.
Фолликул внезапно становится более эхогенным - свободная жидкость в дугласовом пространстве
- увеличение скорости перифолликулярного кровотока, при допплерографии
- Увеличивает матку.
- Утолщает слизистую оболочку матки (эндометрий), чтобы оплодотворенная яйцеклетка могла внедриться в нее (имплантация).
- Обеспечивает снабжение матки достаточным количеством кислорода и крови, чтобы яйцеклетка могла развиться в здоровый плод.
- Если яйцеклетка оплодотворяется, ваше желтое тело будет выделять прогестерон в течение примерно 12 недель.Примерно на 12-й неделе первого триместра беременности орган, в котором находится развивающийся плод (плацента), начинает вырабатывать достаточное количество прогестерона для плода, так что желтому телу больше не требуется.
Желтое тело станет меньше и начнет разрушаться. - Если яйцеклетка не будет оплодотворена, ваше желтое тело начнет разрушаться примерно через 10 дней после того, как яйцеклетка покинет доминантный фолликул. Без прогестерона слизистая оболочка матки не претерпит изменений, поддерживающих беременность.Вместо этого вы потеряете подкладку во время менструации.
- Обычно безболезненны и безвредны.
- Чаще всего обнаруживаются вашим врачом во время планового осмотра беременных.

- Может поражать людей, у которых менструация, независимо от того, беременны они или нет.
- Обычно проходят сами по себе ко второму триместру, если вы беременны.
- Обычно проходит в течение нескольких недель до трех полных менструальных циклов, если вы не беременны.
- Боль в области таза.
- Полнота в животе.
- Боль, когда вы какаете или мочитесь.
- Боль на одной стороне тела.
- Боль в пояснице и нижней части тела.

- Боль во время полового акта (диспареуния).
- Кровавые выделения, когда у вас нет менструации.
- Нежность в груди или на одной стороне тела.
- Трансвагинальное УЗИ для измерения толщины слизистой оболочки матки.
- Тесты для измерения уровня гормонов, особенно фолликулостимулирующего гормона (ФСГ), лютеинизирующего гормона (ЛГ) и прогестерона.
- Получите много качественного сна.
- Регулярно делайте физические упражнения, стараясь не перенапрягаться.

- Ешьте здоровую, сбалансированную пищу каждый день, включая много белков и хороших жиров.
- Узнайте, как справляться со стрессом, чтобы он не нарушал баланс гормонов.
- Медицинский осмотр. Ваш лечащий врач будет следить за увеличением веса, увеличением объема талии и болью в животе, которые могут у вас возникнуть.

- УЗИ. Если у вас OHSS , УЗИ может показать, что ваши яичники больше, чем обычно, с большими заполненными жидкостью кистами, в которых развились фолликулы. Во время лечения препаратами от бесплодия ваш врач регулярно оценивает ваши яичники с помощью вагинального УЗИ.
- Анализ крови. Определенные анализы крови позволяют вашему медицинскому работнику проверить наличие отклонений в вашей крови и определить, нарушена ли функция ваших почек из-за OHSS .
- Увеличение потребления жидкости
- Частые медицинские осмотры и УЗИ
- Ежедневные взвешивания и замеры талии для выявления резких изменений
- Измерение количества мочи, которое вы производите каждый день
- Анализы крови для выявления обезвоживания, дисбаланса электролитов и других проблем
- Дренаж избыточной брюшной жидкости с помощью иглы, введенной в брюшную полость
- Лекарства для предотвращения образования тромбов (антикоагулянты)
- Попробуйте безрецептурные болеутоляющие средства, такие как ацетаминофен (тайленол, другие) при дискомфорте в животе, но избегайте ибупрофена (Advil, Motrin IB, другие) или напроксена натрия (Aleve, другие), если вы недавно перенесли перенос эмбриона, поскольку эти препараты могут препятствовать имплантации эмбриона.
- Избегайте секса, так как он может быть болезненным и может привести к разрыву кисты в яичнике.

- Поддерживайте легкий уровень физической активности, избегая напряженной или высокоэффективной деятельности.
- Ежедневно взвешивайтесь на одних и тех же весах и измеряйте окружность живота, сообщая врачу о необычных увеличениях.
- Позвоните своему поставщику медицинских услуг, если ваши признаки и симптомы ухудшатся.
- Запишите все симптомы, которые вы испытываете. Включите все ваши симптомы, даже если вы не думаете, что они связаны между собой.
- Составьте список всех лекарств и витаминных добавок, которые вы принимаете.
Запишите дозы и частоту их приема. - По возможности пусть вас сопровождает член семьи или близкий друг. При посещении вам может быть предоставлено много информации, и бывает трудно все запомнить.
- Возьмите с собой тетрадь или блокнот. Используйте его, чтобы записывать важную информацию во время вашего визита.
- Подготовьте список вопросов, которые нужно задать своему поставщику медицинских услуг. Сначала перечислите самые важные вопросы.
- Какова наиболее вероятная причина моих симптомов?
- Какие анализы мне нужны?
- Синдром гиперстимуляции яичников обычно проходит сам по себе или мне нужно лечение?
- У вас есть печатные материалы или брошюры, которые я могу взять с собой домой? Какие сайты вы рекомендуете?
- Когда у вас появились симптомы?
- Насколько серьезны ваши симптомы?
- Что-нибудь облегчает ваши симптомы?
- Что-то ухудшает ваши симптомы?
- Профилактика и лечение синдрома гиперстимуляции яичников средней и тяжелой степени: руководство. Американское общество репродуктивной медицины. Фертильность и бесплодие. 2016; doi: 10.1016/j.fertnstert.2016.08.048.
- Тиммонс Д. и др. Синдром гиперстимуляции яичников: обзор для врачей скорой помощи. Американский журнал экстренной медицины. 2019; doi: 10.1016/j.ajem.2019.05.018.
- DeCherney AH, et al., ред.Вспомогательные репродуктивные технологии: экстракорпоральное оплодотворение и родственные методы.
В кн.: Современная диагностика и лечение: акушерство и гинекология. 12-е изд. Образование Макгроу-Хилл; 2019. https://accessmedicine.mhmedical.com. По состоянию на 9 сентября 2019 г. - Нельсон С.М. Профилактика и лечение синдрома гиперстимуляции яичников. Исследование тромбоза. 2019; doi: 10.1016/S0049-3848(17)30070-1.
- Busso CE и др. Лечение синдрома гиперстимуляции яичников. https://www.uptodate.com/contents/search. По состоянию на 11 сентября 2019 г.
- Квик М. и др. Патофизиология, лечение и профилактика синдрома гиперстимуляции яичников. Текущее мнение в акушерстве и гинекологии. 2016; doi: 10.1097/GCO.0000000000000284.
- Фаркуар С. и др. Управление стимуляцией яичников для ЭКО: описательный обзор доказательств, предоставленных для руководства Всемирной организации здравоохранения. Репродуктивная биомедицина онлайн. 2017; doi: 10.1016/j.rbmo.2017.03.024.
Tooliclic, который вырос и созрел так, чтобы он готов к овуляции и выпуску, его яйцеклетка выросла до 18 мм или полдюйма в поперечнике.
При овуляции киста, наполненная жидкостью, разрывается.
СИМПТОМЫ И ПРИЗНАКИ ОВУЛЯЦИИ
Овуляция сонографически определяется:
КАКОВ НОРМАЛЬНЫЙ РАЗМЕР ЯИЧНИКА ДЛЯ БЕРЕМЕННОСТИ?
Яичники — в среднем 3.5 x 2 x 1 см
Объем – от 3 до 6 мл.
ВЛИЯЕТ ЛИ РАЗМЕР ЯИЧНИКА НА фертильность?
Женские яичники уменьшаются в течение детородного возраста.
Размер яичника, измеренный по объему, может служить точным показателем будущей фертильности, независимо от возраста.
МОЖЕТ ЛИ ИЗ ОДНОГО ФОЛЛИКУЛА ВЫПУСТИТЬ ДВА ЯЙЦА?
За цикл может произойти только одна овуляция.
МОЖЕТ ЛИ ЖЕНЩИНА С КИСТОЙ ЗАБЕРЕМЕНИТЬ?
Киста яичника обычно не влияет на способность женщины к зачатию.
ЖЕЛТОЕ ТЕЛО ОЗНАЧАЕТ БЕРЕМЕННОСТЬ?
Желтое тело помогает вырабатывать гормоны, необходимые организму на ранних стадиях беременности.
Это жизненно важная часть фертильности, позволяющая забеременеть.
КАКОВА ТОЛЩИНА ЭНДОМЕТРИЯ ДЛЯ ЗАЧАТИЯ?
У пациенток с толщиной эндометрия от 7 до 8 мм частота наступления беременности была ниже, но не было выявлено существенной разницы по сравнению с пациентками с толщиной эндометрия от 8 до 14 мм.
Имплантация необходима для успешной беременности и требует здоровой рецептивности эндометрия.
Желтое тело: развитие, анатомия и функции
Обзор
Яичниковый цикл и образование желтого тела.Какое у вас желтое тело?
Желтое тело — совершенно нормальная киста, которая ежемесячно образуется на яичнике у женщин детородного возраста. Эта киста на самом деле представляет собой группу клеток внутри ваших яичников, которая образуется во время каждого менструального цикла.Он появляется сразу после выхода яйцеклетки из яичника (овуляция). Несмотря на то, что оно находится внутри ваших яичников, задача желтого тела состоит в том, чтобы сделать вашу матку здоровым местом для роста плода.
Он выделяет гормон под названием прогестерон, который подготавливает матку к беременности. Как только прогестерон больше не нужен, желтое тело исчезает.
Функция
Что делает ваше желтое тело?
Ваше желтое тело формируется после того, как ваши яичники выделяют яйцеклетку, и существует ровно столько времени, сколько нужно, чтобы помочь матке поддерживать развивающийся плод.Чтобы понять, что делает ваше желтое тело, полезно понять фазы вашего менструального цикла. Ваше желтое тело становится особенно важным в третьей фазе (лютеиновой фазе).
Фолликулярная фаза
Небольшие мешочки внутри ваших яичников, называемые фолликулами, могут создавать яйцеклетки (яйцеклетки или ооциты). В течение первых 14 дней менструального цикла формируется доминантный фолликул, который больше других фолликулов. Внутри него развивается яйцо. Все остальные фолликулы сморщиваются и со временем исчезают.
Фаза овуляции
Лютеинизирующие гормоны заставляют доминантный фолликул высвобождать эту яйцеклетку.
Выход яйцеклетки из фолликула занимает от 1 до 2 дней.
Лютеиновая фаза
Лютеиновая фаза длится около 14 дней. После того, как яйцеклетка покинула фолликул, ваше желтое тело начинает формироваться из материалов, из которых состоит этот фолликул. Желтое тело вырабатывает гормоны эстроген и прогестерон. Однако выработка прогестерона — самая важная задача желтого тела.Прогестерон превращает матку в здоровую среду для развития и роста плода. Прогестерон:
После формирования желтое тело выполняет одно из двух действий:
Анатомия
Как выглядит желтое тело?
Ваше желтое тело находится внутри ваших яичников, где раньше был доминантный фолликул. Большинство людей представляют себе фолликул в форме туннеля, как волосяной фолликул, но фолликулы внутри ваших яичников отличаются. Представьте каждый фолликул в виде крошечного мешочка, в котором может находиться развивающаяся яйцеклетка. Когда яйцеклетка выходит из вашего доминирующего фолликула во время овуляции, этот мешок разрывается.Шафраново-желтая масса клеток образуется там, где когда-то был фолликул, закрывая разрыв и принимая форму новой структуры. Эта новая структура, ваше желтое тело, может варьироваться от чуть менее 2 до 5 сантиметров по мере роста.
Из чего состоит желтое тело?
В желтом теле есть два основных типа клеток: фолликулярные тека-клетки и фолликулярные гранулезные клетки. Оба вида клеток можно найти в фолликулах яичников. Гормон, называемый хорионическим гонадотропным гормоном человека (ХГЧ), побуждает эти клетки вырабатывать прогестерон.
Условия и расстройства
Каковы общие состояния и расстройства, поражающие желтое тело?
Иногда желтое тело продолжает расти, а не разрушаться, когда должно. Когда это происходит, ваше желтое тело наполняется жидкостью, образуя кисту желтого тела. Дефект желтого тела, также называемый дефектом лютеиновой фазы, возникает, когда ваше желтое тело не вырабатывает достаточно прогестерона для утолщения слизистой оболочки матки. Или ваше тело может вырабатывать прогестерон, но прогестерон просто не заставляет слизистую оболочку матки утолщаться, как должно.
Кисты желтого тела:
Дефект желтого тела может затруднить беременность или рождение ребенка.Это было связано с определенными условиями, характеристиками и поведением, но нет одной четкой причины, которая его вызывает. К ним относятся:
Каковы общие признаки или симптомы заболеваний желтого тела?
Если желтое тело вызывает симптомы, наиболее вероятной причиной является киста. Кисты желтого тела обычно безвредны и безболезненны. Обычно они проходят сами по себе. Но иногда они могут быть неудобными. Симптомы включают:
Проблемы с зачатием или сохранением беременности могут быть признаком того, что желтое тело не вырабатывает прогестерон, необходимый матке для имплантации яйцеклетки в слизистую оболочку.
Каковы некоторые общие тесты для проверки здоровья моего желтого тела?
Часто медицинские работники обнаруживают кисту желтого тела во время гинекологического осмотра или в рамках рутинной визуализации во время беременности. Если ваш врач считает, что проблемы с желтым телом влияют на вашу фертильность, он может заказать:
Каковы общие методы лечения состояний, связанных с желтым телом?
Ваш врач может удалить кисту желтого тела, если она болезненна или если она становится настолько большой, что может представлять опасность.
Однако обычно кисты исчезают сами по себе. Если ваше желтое тело не вырабатывает достаточно прогестерона, врач может порекомендовать вам принимать хорионический гонадотропный гормон (ХГЧ) или цитрат клофена. Оба гормона запускают в организме процессы, которые побуждают желтое тело вырабатывать прогестерон.Или ваш врач может порекомендовать вам принимать добавки с прогестероном. Поговорите со своим провайдером о наилучших доступных вам вариантах.
уход
Какие простые советы по образу жизни помогут сохранить здоровье желтого тела?
Не беспокойтесь о здоровье желтого тела. В конце концов, вы будете получать новый с каждым менструальным циклом. Вместо этого сосредоточьтесь на вещах, которые поддерживают баланс гормонов. Хорошая новость заключается в том, что многие из привычек здорового образа жизни также помогают поддерживать ваши гормоны в хорошей форме.
Записка из клиники Кливленда
Ваше желтое тело играет важную роль во время беременности. Прогестерон, который он вырабатывает в течение первого триместра беременности, позволяет яйцеклетке развиться в здоровый плод.Это лишь одна из причин, почему так важно поддерживать здоровый уровень гормонов, чтобы желтое тело могло выполнять эту важную работу, если придет время.
Синдром гиперстимуляции яичников — Диагностика и лечение
Диагноз
Диагноз синдрома гиперстимуляции яичников может быть основан на:
Лечение
Синдром гиперстимуляции яичников обычно проходит сам по себе в течение недели или двух или несколько дольше, если вы беременны. Лечение направлено на обеспечение вашего комфорта, снижение активности яичников и предотвращение осложнений.
СГЯ легкой и средней степени тяжести
СГЯ легкой степени СГЯ обычно проходит самостоятельно.
Лечение средней тяжести OHSS может включать:
Тяжелая форма СГЯ
При тяжелой форме СГЯ может потребоваться госпитализация для наблюдения и агрессивного лечения, включая внутривенное введение жидкостей.Ваш врач может дать вам лекарство под названием каберголин, чтобы уменьшить ваши симптомы. Иногда ваш поставщик может также дать вам другие лекарства, такие как антагонист гонадотропин-высвобождающего гормона (Gn-RH) или летрозол (Фемара) — для подавления активности яичников.
Серьезные осложнения могут потребовать дополнительных методов лечения, таких как операция по поводу разрыва кисты яичника или интенсивная терапия при осложнениях со стороны печени или легких. Вам также могут понадобиться антикоагулянты, чтобы снизить риск образования тромбов в ногах.
Образ жизни и домашние средства
Если у вас развился легкий синдром гиперстимуляции яичников, вы, вероятно, сможете продолжать свою повседневную жизнь. Следуйте советам вашего врача, которые могут включать следующие рекомендации:
Подготовка к приему
В зависимости от того, насколько серьезен ваш синдром гиперстимуляции яичников, ваш первый прием может быть назначен лечащему врачу, гинекологу или специалисту по бесплодию или, возможно, лечащему врачу в отделении неотложной помощи.
Если у вас есть время, рекомендуется заранее подготовиться к встрече.
Что вы можете сделать
Некоторые основные вопросы, которые следует задать, включают:
Убедитесь, что вы полностью понимаете все, что говорит вам ваш провайдер.
Не стесняйтесь попросить своего врача повторить информацию или задать уточняющие вопросы для уточнения.
Чего ожидать от вашего провайдера
Некоторые возможные вопросы, которые может задать ваш провайдер, включают:
нояб.09, 2021
Показать ссылкиСиндром гиперстимуляции яичников
.
Т.е. своевременно выявляются такие пороки только лишь при УЗИ, проведенном в диагностических целях.
Фолликул внезапно становится более эхогенным
Желтое тело станет меньше и начнет разрушаться.




Запишите дозы и частоту их приема.
В кн.: Современная диагностика и лечение: акушерство и гинекология. 12-е изд. Образование Макгроу-Хилл; 2019. https://accessmedicine.mhmedical.com. По состоянию на 9 сентября 2019 г.